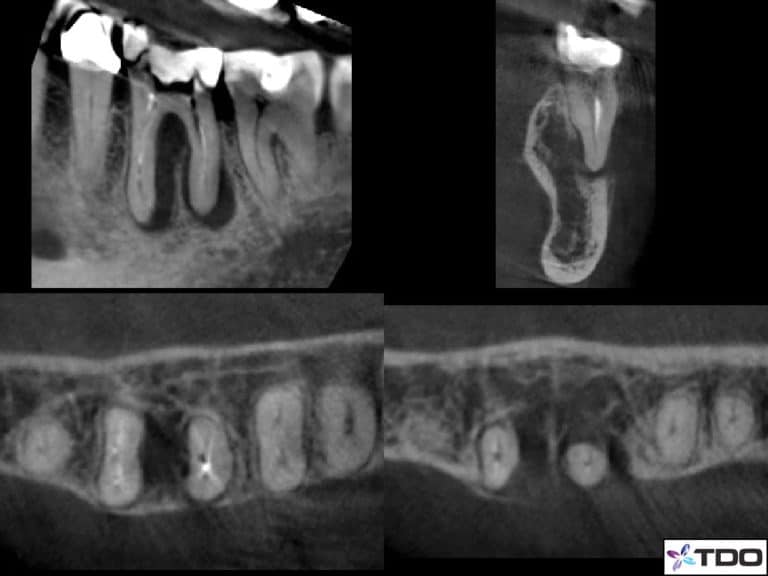
J Lesion Dental . This is not a cracked tooth despite the radiographic presentation. This chapter is designed to simplify the process of arriving at a. However upon closer review, there is definitive spicule of bone attached to the distal cej. a vertical root fracture (vrf) is a common and often devastating event. When identified, the treatment plan is straightforward: This description of a lesion is what has made so many practitioners believe that a vertical root fracture is a super hard diagnosis. specifically, when the bone loss presents in “j” shaped pattern, it is highly suggestive that a root fracture is present. differential diagnosis of radiolucent lesions of the jaws. The shape may be due to the radiographic.
from dxoiyehws.blob.core.windows.net
This chapter is designed to simplify the process of arriving at a. The shape may be due to the radiographic. a vertical root fracture (vrf) is a common and often devastating event. differential diagnosis of radiolucent lesions of the jaws. specifically, when the bone loss presents in “j” shaped pattern, it is highly suggestive that a root fracture is present. This is not a cracked tooth despite the radiographic presentation. When identified, the treatment plan is straightforward: However upon closer review, there is definitive spicule of bone attached to the distal cej. This description of a lesion is what has made so many practitioners believe that a vertical root fracture is a super hard diagnosis.
Endo Perio Lesion Radiographic at Becky Smith blog
J Lesion Dental differential diagnosis of radiolucent lesions of the jaws. When identified, the treatment plan is straightforward: This is not a cracked tooth despite the radiographic presentation. However upon closer review, there is definitive spicule of bone attached to the distal cej. The shape may be due to the radiographic. This chapter is designed to simplify the process of arriving at a. differential diagnosis of radiolucent lesions of the jaws. specifically, when the bone loss presents in “j” shaped pattern, it is highly suggestive that a root fracture is present. a vertical root fracture (vrf) is a common and often devastating event. This description of a lesion is what has made so many practitioners believe that a vertical root fracture is a super hard diagnosis.
From pocketdentistry.com
Radiology of Dental Caries Pocket Dentistry J Lesion Dental specifically, when the bone loss presents in “j” shaped pattern, it is highly suggestive that a root fracture is present. This is not a cracked tooth despite the radiographic presentation. This chapter is designed to simplify the process of arriving at a. However upon closer review, there is definitive spicule of bone attached to the distal cej. When identified,. J Lesion Dental.
From www.oralhealthgroup.com
Managing Refractory Endodontic Disease With Radial Apical Cleansing (Report Of Two Clinical J Lesion Dental However upon closer review, there is definitive spicule of bone attached to the distal cej. differential diagnosis of radiolucent lesions of the jaws. a vertical root fracture (vrf) is a common and often devastating event. This chapter is designed to simplify the process of arriving at a. When identified, the treatment plan is straightforward: specifically, when the. J Lesion Dental.
From www.youtube.com
The Diary of an Endodontist Episode 1 J Shaped Lesion YouTube J Lesion Dental The shape may be due to the radiographic. When identified, the treatment plan is straightforward: This is not a cracked tooth despite the radiographic presentation. This description of a lesion is what has made so many practitioners believe that a vertical root fracture is a super hard diagnosis. However upon closer review, there is definitive spicule of bone attached to. J Lesion Dental.
From www.dentalnotebook.com
Describing Dental Radiographic Lesions dentalnotebook J Lesion Dental The shape may be due to the radiographic. differential diagnosis of radiolucent lesions of the jaws. However upon closer review, there is definitive spicule of bone attached to the distal cej. This chapter is designed to simplify the process of arriving at a. When identified, the treatment plan is straightforward: This description of a lesion is what has made. J Lesion Dental.
From pocketdentistry.com
Common Lesions in Oral Pathology for the General Dentist Pocket Dentistry J Lesion Dental differential diagnosis of radiolucent lesions of the jaws. This chapter is designed to simplify the process of arriving at a. When identified, the treatment plan is straightforward: specifically, when the bone loss presents in “j” shaped pattern, it is highly suggestive that a root fracture is present. However upon closer review, there is definitive spicule of bone attached. J Lesion Dental.
From www.researchgate.net
Radiopaque lesion associated with the mesial root of tooth 46,... Download Scientific Diagram J Lesion Dental This description of a lesion is what has made so many practitioners believe that a vertical root fracture is a super hard diagnosis. This is not a cracked tooth despite the radiographic presentation. The shape may be due to the radiographic. When identified, the treatment plan is straightforward: differential diagnosis of radiolucent lesions of the jaws. However upon closer. J Lesion Dental.
From drsoniachopra.com
Does a JShaped Lesion Always Mean Extraction? J Lesion Dental The shape may be due to the radiographic. a vertical root fracture (vrf) is a common and often devastating event. specifically, when the bone loss presents in “j” shaped pattern, it is highly suggestive that a root fracture is present. When identified, the treatment plan is straightforward: This description of a lesion is what has made so many. J Lesion Dental.
From www.conroerootcanal.com
Cracked?, Endodontics Conroe TX Ellis Endodontics J Lesion Dental specifically, when the bone loss presents in “j” shaped pattern, it is highly suggestive that a root fracture is present. However upon closer review, there is definitive spicule of bone attached to the distal cej. This is not a cracked tooth despite the radiographic presentation. The shape may be due to the radiographic. This chapter is designed to simplify. J Lesion Dental.
From www.myzerodonto.com
Lower second molar with “J” shape lesion MyZerodonto J Lesion Dental When identified, the treatment plan is straightforward: This chapter is designed to simplify the process of arriving at a. specifically, when the bone loss presents in “j” shaped pattern, it is highly suggestive that a root fracture is present. differential diagnosis of radiolucent lesions of the jaws. a vertical root fracture (vrf) is a common and often. J Lesion Dental.
From pocketdentistry.com
Common Lesions in Oral Pathology for the General Dentist Pocket Dentistry J Lesion Dental When identified, the treatment plan is straightforward: differential diagnosis of radiolucent lesions of the jaws. This description of a lesion is what has made so many practitioners believe that a vertical root fracture is a super hard diagnosis. This is not a cracked tooth despite the radiographic presentation. However upon closer review, there is definitive spicule of bone attached. J Lesion Dental.
From pubs.rsna.org
Radiopaque Jaw Lesions An Approach to the Differential Diagnosis RadioGraphics J Lesion Dental This is not a cracked tooth despite the radiographic presentation. a vertical root fracture (vrf) is a common and often devastating event. When identified, the treatment plan is straightforward: specifically, when the bone loss presents in “j” shaped pattern, it is highly suggestive that a root fracture is present. However upon closer review, there is definitive spicule of. J Lesion Dental.
From soniachopradds.com
Rethinking J Shaped Radiolucency Don’t Fear This Tricky Lesion! J Lesion Dental a vertical root fracture (vrf) is a common and often devastating event. This description of a lesion is what has made so many practitioners believe that a vertical root fracture is a super hard diagnosis. specifically, when the bone loss presents in “j” shaped pattern, it is highly suggestive that a root fracture is present. The shape may. J Lesion Dental.
From pocketdentistry.com
12 Diagnosis and Management of Dental Caries Pocket Dentistry J Lesion Dental a vertical root fracture (vrf) is a common and often devastating event. The shape may be due to the radiographic. This description of a lesion is what has made so many practitioners believe that a vertical root fracture is a super hard diagnosis. differential diagnosis of radiolucent lesions of the jaws. When identified, the treatment plan is straightforward:. J Lesion Dental.
From www.intechopen.com
Common Benign Dental and Periodontal Lesions IntechOpen J Lesion Dental However upon closer review, there is definitive spicule of bone attached to the distal cej. specifically, when the bone loss presents in “j” shaped pattern, it is highly suggestive that a root fracture is present. This description of a lesion is what has made so many practitioners believe that a vertical root fracture is a super hard diagnosis. . J Lesion Dental.
From www.mdpi.com
Dentistry Journal Free FullText Imaging in Patients with BisphosphonateAssociated J Lesion Dental The shape may be due to the radiographic. When identified, the treatment plan is straightforward: This chapter is designed to simplify the process of arriving at a. However upon closer review, there is definitive spicule of bone attached to the distal cej. This description of a lesion is what has made so many practitioners believe that a vertical root fracture. J Lesion Dental.
From pubs.rsna.org
Radiopaque Jaw Lesions An Approach to the Differential Diagnosis RadioGraphics J Lesion Dental However upon closer review, there is definitive spicule of bone attached to the distal cej. The shape may be due to the radiographic. specifically, when the bone loss presents in “j” shaped pattern, it is highly suggestive that a root fracture is present. This is not a cracked tooth despite the radiographic presentation. When identified, the treatment plan is. J Lesion Dental.
From decisionsindentistry.com
Diagnosis of EndodonticPeriodontal Lesions Decisions in Dentistry J Lesion Dental This is not a cracked tooth despite the radiographic presentation. When identified, the treatment plan is straightforward: This chapter is designed to simplify the process of arriving at a. However upon closer review, there is definitive spicule of bone attached to the distal cej. The shape may be due to the radiographic. differential diagnosis of radiolucent lesions of the. J Lesion Dental.
From dxoiyehws.blob.core.windows.net
Endo Perio Lesion Radiographic at Becky Smith blog J Lesion Dental a vertical root fracture (vrf) is a common and often devastating event. The shape may be due to the radiographic. This is not a cracked tooth despite the radiographic presentation. This description of a lesion is what has made so many practitioners believe that a vertical root fracture is a super hard diagnosis. specifically, when the bone loss. J Lesion Dental.